Skip to content Skip to sidebar Skip to footer

How Do Braces Fix An Overbite - An overbite is a structural problem.

How Do Braces Fix An Overbite - An overbite is a structural problem.. People also ask how long does it take to fix overbite with braces? Can lingual braces fix an overbite? Find out how to get started today. How to fix an overbite: Fixing an overbite depends on the root cause.

5 can you correct an overbite without braces? They attach braces to the top and lower jaw. The treatment strategies for correction of overbite range from wearing braces, tooth extraction, invisalign, retainers and jaw surgery. How do overbite braces work? Braces are the easiest and most common way to correct an overbite.

What Is Overbite Symptoms Diagnosis And Treatment
What Is Overbite Symptoms Diagnosis And Treatment from storage.googleapis.com
How to fix an overbite. Let's know how long does it take to fix an overbite with braces and rubber bands. Overbites can cause all sorts of oral health issues if left untreated. How can you fix an overbite without braces? Learn how long it takes to fix an overbite. How do you fix an overbite? An overbite in dog's is not typically fixed. Damon braces make the movement of teeth less painful as they.

But, what treatments help fix overbite?

5 can you correct an overbite without braces? Some adults with severe skeletal overbite and jaw problems need more than braces to correct the problem and surgery is required to reposition the jaw. But innovations in orthodontics have made it possible to fix some cases of overbite straightening your teeth can be easy and affordable. Braces may take 18 to 24 months to fix overbite and all related problems. An overbite in dog's is not typically fixed. How to fix an overbite. However, if it is very severe, often braces is the best non surgical method of. Learn 4 specific ways that overbites are corrected with braces. The cause of an overbite is not fully understood, and may be determined by many different factors. How to fix an overbite? The first thing to do when dealing with overbites is to make an appointment with your. During this time, you need to wear rubber bands for 8 to 9 months that's the main component to correct the overbite. A serious, deep overbite can make it difficult to properly chew food and can even result in damage to the teeth or gums as the lower teeth can strike the back of the.

And how do braces fix overbites? Can lingual braces fix an overbite? The most popular way to correct a malocclusion is with braces. To understand how to fix overbite without braces, you must know what overbite is. Genetics are a known factor contributing to overbites, as are some behaviors in early childhood, such.

Overbite Underbite And Crossbite What Do These Bite Disorders Mean
Overbite Underbite And Crossbite What Do These Bite Disorders Mean from cardinalorthodontics.com
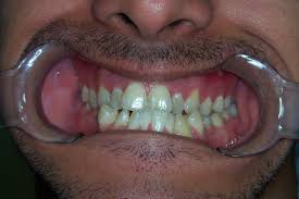
To understand how to fix overbite without braces, you must know what overbite is. How do you correct an overbite? 6 is there a surgery to correct overbites? How to fix an overbite? How can you fix an overbite cause by braces? Why fix a bad bite and see an orthodontist? An overbite is when the upper teeth overlap more than half of the lower teeth when biting down. Even adults get braces, almost 1.5 million of them every year, and the length of time you wear braces depends on your medical and dental history and the severity of your overbite.

Muslin provided braces for his younger and older patients for nearly 20.

Braces treatment lasts for 18 months to three years. When the overbite is only due to the forward placement of dental teeth, treatment with braces is the best option. Traditional braces help in fixing an overbite by pushing the teeth back. Some adults with severe skeletal overbite and jaw problems need more than braces to correct the problem and surgery is required to reposition the jaw. Oral and maxillofacial surgery 18 years experience. No matter how old you are, braces can help realign your teeth and fix your jaw position. Can braces fix an overbite? Braces are the easiest and most common way to correct an overbite. Why overbite braces are important. Traditional braces have been used in fixing overbite for years. Can lingual braces fix an overbite? Overbite treatment is generally preferred during early childhood period. The devices carefully apply pressure to adjust the teeth into the correct alignment.

The treatment strategies for correction of overbite range from wearing braces, tooth extraction, invisalign, retainers and jaw surgery. They attach braces to the top and lower jaw. Overbites can cause all sorts of oral health issues if left untreated. Some adults with severe skeletal overbite and jaw problems need more than braces to correct the problem and surgery is required to reposition the jaw. How can you fix an overbite cause by braces?

Common Problems Braces Fix
Common Problems Braces Fix from 439cf244xpzz3hdh8h1a3i48-wpengine.netdna-ssl.com
The most popular way to correct a malocclusion is with braces. How does invisalign fix overbite? Those with less severe cases could. When the overbite is only due to the forward placement of dental teeth, treatment with braces is the best option. But innovations in orthodontics have made it possible to fix some cases of overbite straightening your teeth can be easy and affordable. But the overbite can range from an easy 6th month fix to 6 years. If the overbite is mild, yes you can. They work by slowly adjusting.

Aligners can do the job in a shorter time frame.

But, what treatments help fix overbite? Muslin provided braces for his younger and older patients for nearly 20. Braces are the easiest and most common way to correct an overbite. How difficult is overbite correction for adults? The average age for this dental condition preferred by dentist orthodontic braces: Due to advances in modern technology, innovative orthodontic treatments have emerged, which as braces can have negative connotations (like brace face), many adults feel embarrassed to wear braces to fix their misalignment or malocclusion issues. 6 is there a surgery to correct overbites? Normal overbite is when approximately 1/2 to 1/3 of the lower teeth being covered by the upper incisors). Genetics are a known factor contributing to overbites, as are some behaviors in early childhood, such. Oral health problems which can result from severe overbites include gum disease, tooth decay, jaw pain and joint problems, tooth enamel issues, tooth loss, and trouble speaking and chewing. How to fix an overbite: Overbite is a condition that occurs due to dental malocculsions. 5 can you correct an overbite without braces?